Triumph Over Trauma: A Journey of Recovery - Orthopedic Care
- Dr Vinayaraj Kelagadi

- Jun 18, 2024
- 2 min read
Dr. Vinayraj Kelagadi, Medical Director, Orthopedic Surgeon at Seven Hills Hospital
In the face of adversity, human resilience often shines brightest. Under Dr Vinayaraj, we witness this spirit of endurance and recovery daily. One such inspiring story is that of Mr. Manjunath, a courageous individual who overcame life-threatening injuries from a road traffic accident. This his journey of recovery, demonstrating the dedication of our medical team and the transformative power of advanced orthopedic care.
The Accident
Mr. Manjunath's life took a drastic turn when his two-wheeler was struck by a Bolero car near Doddaballapura. The impact was severe, resulting in multiple injuries that necessitated immediate medical attention. Unfortunately, his initial attempt to receive care at a nearby hospital was met with denial. With the odds stacked against him, Mr. Manjunath was referred to Seven Hills Hospital, where our team was ready to take on the challenge.
Initial Diagnosis
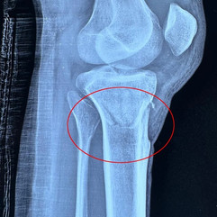
Upon his arrival, a thorough examination revealed the extent of Mr. Manjunath’s injuries:
Head injury with extradural hemorrhage (EDH)
Fracture of the right femur
Open fracture of the right tibia
Fracture of the left femur
Bicondylar fracture of the left proximal tibia
Volar Barton fracture of the left distal radius Before Surgery
Surgical Intervention
Given the complexity of his injuries, meticulous planning was essential. As an orthopedic surgeon, I spearheaded the surgical intervention, ensuring every detail was considered:
Anesthesia: Tailored to minimize risks and enhance recovery.
Patient Positioning: Optimal positioning to facilitate precise surgical access.
Draping: Sterile techniques to prevent infection.
Implant Readiness: Pre-selected implants to suit the specific requirements of each fracture.
Postoperative Care
Post-surgery, Mr. Manjunath was extubated and monitored closely in the Intensive Care Unit (ICU). The initial hours post-surgery are critical, and our dedicated ICU team ensured he was stable and comfortable. Remarkably, Mr. Manjunath showed positive signs of recovery early on, able to move his operated limbs and express his gratitude with a smile.
After Surgery
The Road to Recovery
Recovery from such extensive injuries is a gradual process, but Mr. Manjunath’s progress has been promising. His determination, coupled with the comprehensive care provided by our team, has set a strong foundation for his rehabilitation. He continues to receive physical therapy and regular follow-ups to monitor his healing and ensure he regains full functionality.
Conclusion
Mr. Manjunath’s journey is a testament to the resilience of the human spirit and the efficacy of modern orthopedic surgery. under Vinayaraj, we are committed to providing the highest standard of care, ensuring our patients not only recover but thrive post-trauma. Stories like Mr. Manjunath’s inspire us to continually strive for excellence in our medical practice.
A Message of Hope
To all our patients and their families, know that with expert care and unwavering determination, recovery is always within reach. We are here to support you every step of the way.
Dr. Vinayraj Kelagadi | Medical Director / Orthopedic Surgeon




















Comments